MINNEAPOLIS CANCER ATTORNEY

How a diagnosis of Cancer can affect your employment

Very nice concise article from Sonya Collins that is important to read. It is not specific legal advice but a good overview. Sonya Collins is an independent journalist covering health care, medicine, and biomedical research. She is a regular contributor to WebMD Magazine, WebMD.com, CURE, Genome, Pharmacy Today, and Yale Medicine. Her stories have also appeared in Scientific American, Family Circle, and Atlanta Magazine. If you do have issues or questions about the cause of your cancer and or the ramifications at your employment, you should seek the counsel of an attorney. Now to the article.

If you've just learned you have cancer you may be thinking about how you'll tell the people in your life. You probably want to tell those closest to you, but what about your employer?

"At a time when you may feel that you have lost so much control because you have cancer, you do have a choice about this," says Monica Bryant, a lawyer and chief operating officer at Cancer Triage. "If you decide you'd like to keep your privacy, you can still access all the rights and benefits you're entitled to without disclosing that you have cancer."

What Are Your Rights?

If your employer has at least 50 employees, the organization must follow a law called the Family Medical Leave Act. The law gives employees who are seriously ill 12 workweeks of leave during a 12-month period. If you've been at your job at least 12 months in the last 7 years, and you've worked the equivalent of about 24 hours a week per year, you're probably eligible. Leave can give you the time you need for treatment, including surgery, recovery, and chemotherapy.

How to Get the Most Out of Your Doctor Visit

Though some things like wait times and exam gowns may be out of your control, there are a few things you can do to help your time at the doc go as smoothly as possible.

But you might need more than time off to help you through treatment. The Americans with Disabilities Act (ADA) makes sure that organizations with at least 15 employees help make the adjustments employees need to do their job during and after a serious illness.

"Not enough people know about reasonable accommodations and utilize them to their full benefit," says Bryant. "They're one of the most important tools for individuals to either work through treatments or to return to work after treatment."

Reasonable accommodations, as the ADA calls them, are exactly that: accommodations, as long as they are within reason, that will help you do your job when you're sick. The things you might need depend on many things. A big factor is what kinds of side effects you have from treatment, such as fatigue, nausea and pain, or trouble thinking clearly. You won't know what accommodations would help you until you need them. And, that may change over time.

"What somebody needs soon after treatment is likely going to be different 3 months out, 5 years out, and 10 years out," says Bryant.

Some accommodations could include a change in working hours, the option to work from home, dictation software on your computer, or a more comfortable workstation. You can ask for these things as issues arise and make changes as you go.

"It's very flexible, and it's beneficial for both employees and employers," says Bryant. "The employer doesn't want to lose a valued employee [because they can't work in the current conditions] and go through the process of hiring someone else, so they benefit, too."

If you or your company doesn’t meet the criteria for you to get leave or accommodations, all is not lost. State laws may protect you, or the employer may have a policy for workers who need sick leave. "Many employers are much more generous than that bare minimum that the law requires," says Bryant.

Don't I Have to Tell the Boss?

But how, you might wonder, can you get the time off and the adjustments you need without telling your boss you have cancer?

For most people, it's the side effects of treatment, not the cancer itself, that keep you from working. It's chemotherapy-related pain or grogginess that might make it hard to do your job the way you usually do. You may choose to tell your employer about these symptoms rather than your diagnosis. For example, "I need medical treatment that will require me to take time off."

You and a health care provider will fill out a few forms for your leave and accommodations. It's important to know that your employer might give you a company-based form that asks for a diagnosis, but federal forms don't ask that.

"Some health care professionals will only fill out the Department of Labor form, so they're only sharing information that the employer is legally entitled to," says Bryant.

The federal form simply requires certification from a health care provider that you have a medical reason to request leave. If you don't want to share your diagnosis, tell your provider before you complete the forms. That way, the provider will omit your diagnosis from the paperwork and avoid words such as chemotherapy and oncology.

"One sticking point is where the form asks for your provider's specialty," says Bryant. "If you don't want to disclose, the provider can write 'internal medicine' rather than 'oncology.' It's absolutely true without inadvertently disclosing."

But Why Not Tell?

Some research shows that people whose cancer history is known in their workplace may face stereotyping and discrimination. People who share on a job application or in an interview that they are cancer survivors may be less likely to get the job.

Before you choose whether to disclose, it might be important to consider these possibilities. But, ultimately, you know your workplace and colleagues, and you should decide what is best for you. Whether you tell your employer that you have cancer is 100% your choice. You might feel empowered sharing your diagnosis with others, but that power comes from knowing that it is your decision.

Talk to Your Cancer Care Team

Before you talk to your employer, ask your care team how treatment might affect your ability to work. You might want to ask these questions, says Bryant.

  • How much time off will I need for surgery, recovery, chemotherapy,radiation, or other treatments? How much time do other people usually take?

  • What immediate side effects could I have from my treatment?

  • How might these side effects affect my ability to do my job?

  • Could I have new and different side effects over time?

  • Will I be able to predict certain side effects, such as when I might feel nausea, fatigue, or pain?

By the Numbers

46%: Percentage of people diagnosed with cancer who are of working age (20 to 64).

20%: Percentage of cancer survivors who have work-related limitations due to cancer up to 5 years later.

69%: Percentage of cancer survivors who say their work routine helped their recovery.

855: Number of cancer-related discrimination claims filed with the Equal Employment Opportunity Commission in 2017.

At the SCHMIDT-SALITA LAW TEAM WE DISCUSS YOUR EMPLOYMENT AND HEALTH HISTORY AND HAVE REPRESENTED NUMEROUS INDIVIDUALS AND FAMILIES IN ALL EXPOSURE CASES, WE PURSUE CLAIMS AND LAWSUITS AGAINST THOSE EMPLOYERS, MANUFACTURERS AND THIRD PARTIES FOR MEDICAL CARE, LOST EARNINGS, THE VICTIM’S PAIN AND SUFFERING, OR THE SURVIVORS’ LOSSES. PLEASE CONTACT US AT:

Phone: 952-473-4530

Toll Free: 1-800-656-8450

Fax: 952-544-1308

Email: info@mnlawteam.com

OCCUPATIONAL CANCER

Occupational cancer kills more than 200 000 people a year

Kaushal Raj Pandey authored the following article. It is an overview but informative. It is important to be aware of one’s surroundings at work. Pandrey writes:

“More than 200 000 people, most of them in the developed world, die each year from a workplace related cancer, the World Health Organization has said in a press release.

A major rise in the incidence of occupational cancer can be expected in developing countries in the coming decades as work processes involving the use of carcinogens shift to countries with less stringent enforcement of occupational health standards, WHO warns. These processes involve substances such as chrysotile asbestos and pesticides and those used in production of tyres and dyes.

The developed world presently has a higher rate of occupational cancer, the result of the wide use 20 to 30 years ago of various carcinogenic substances such as blue asbestos, 2-naphthylamine, and benzene, it adds. These countries now have much tighter controls on the presence of these known carcinogens in the workplace.

Asbestos, second hand smoke, and benzene are the carcinogens that people are most commonly exposed to at work. Lung cancer, mesothelioma, bladder cancer, and leukaemia are the most common cancers resulting from occupational exposure to carcinogens, it says.

More than 125 million people around the world are exposed to asbestos at work, and at least 90 000 die each year from asbestos related diseases. A 10th of lung cancer deaths are closely related to risks in the workplace, and workers who are heavily exposed to second hand tobacco smoke at their workplaces are twice as likely as those working in a smoke free environment to develop lung cancer.

Thousands of people working in the chemical and diamond industries die from leukaemia caused by exposure to benzene, which is widely used by workers as an organic solvent in such industries.

WHO says that prevention of exposure to carcinogens in the workplace may be the most efficient way to prevent cancer. “The control of carcinogens in the workplace should be a key component of every national cancer control programme,” said Andreas Ullrich, WHO's medical officer for cancer control.

To protect workers from occupational cancer, WHO recommends stopping the use of asbestos; introducing benzene-free organic solvents and technologies that convert the carcinogenic form of chromium into a non-carcinogenic form; banning smoking in the workplace; and providing protective clothes for people who work in the sun. These simple interventions could prevent hundreds of thousands of unnecessary deaths and suffering from occupational cancer, it adds.

Recently WHO issued an official statement warning countries to stop using asbestos or face an epidemic of cancer in the coming years. It suggested using pine fibres in producing cement building materials as a safe alternative to asbestos.”

If you or a loved one has or had bladder cancer, they should give out office a call. There may be a strong workplace connection. At the SCHMIDT-SALITA LAW TEAM WE DISCUSS YOUR EMPLOYMENT AND HEALTH HISTORY AND HAVE REPRESENTED NUMEROUS INDIVIDUALS AND FAMILIES IN ALL EXPOSURE CASES. WE PURSUE CLAIMS AND LAWSUITS AGAINST THOSE EMPLOYERS, MANUFACTURERS AND THIRD PARTIES FOR MEDICAL CARE, LOST EARNINGS, THE VICTIM’S PAIN AND SUFFERING, OR THE SURVIVORS’ LOSSES. PLEASE CONTACT US AT

Phone: 952-473-4530

Toll Free: 1-800-656-8450

Fax: 952-544-1308

Email: info@mnlawteam.com

The prevalence of Asbestos Disease such as Mesothelioma and Cancer in northeast Minnesota continues to rise, according to a University of Minnesota study examining the nearby taconite mining industry.

The study through the State of Minnesota the mines in the “Iron Range” area of Minnesota focused on the estimated 46,000 people born after 1920 who worked in the industry. Results showed confirmed cases of mesothelioma, which normally affects 2,000 to 3,000 people a year in the United States. The study of mine workers on the Iron Range showed three times the number of mesothelioma cases than the rest of Minnesota's population. Asbestos fibers are linked to mesothelioma, an aggressive cancer that has no cure.

The fibers become airborne or end up in the water during mining operations.

The Taconite Workers Health Study arose from the concept that the asbestos-like fibers in the dust from the ore processing was causing the mesothelioma and other lung diseases. Plant workers originally suspected the mesothelioma  stemmed from the commercial asbestos, which was found on boilers, furnaces and pipes in the processing plants which also create problems.

At Schmidt-Salita Law Team we discuss your employment history and have significant records with known asbestos-containing materials and job sites such as the Iron Range. We have handled many cases on behalf of “rangers” and their families. We pursue claims and lawsuits against those employers, mining companies, manufacturers and third parties for medical care, lost earnings, the victim’s pain and suffering, or the survivors’ losses. Please contact us at

Phone: 952-473-4530

Toll Free: 1-800-656-8450

Fax: 952-544-1308

Email: info@mnlawteam.com

Tagged: #mesothelioma #cancer #iron range #mining #NorthernMinnesota #asbestosMESOTHELIOMA LAWYERMESOTHELIOMA LAWYER MINNEAPOLISMINNEAPOLIS MESOTHELIOMA LAWYERMESOTHELIOMA LAWYER MINNESOTAMINNESOTA MESOTHELIOMA LAWYERMESOTHELIOMA LAWYER MNMN MESOTHELIOMA LAWYERMESOTHELIOMA ATTORNEY MINNEAPOLISMINNEAPOLIS MESOTHELIOMA ATTORNEYMESOTHELIOMA ATTORNEY MINNESOTAMINNESOTA MESOTHELIOMA ATTORNEYMESOTHELIOMA ATTORNEY MNMN MESOTHELIOMA ATTORNEYMESOTHELIOMA ATTORNEYLAWYER FOR MINNESOTA MESOTHELIOMA CASEMN MESOTHELIOMA CLAIM LEGALLAWYER FOR MINNESOTA MESOTHELIOMA LEGAL CASEMESOTHELIOMA CLAIMMINN MESOTHELIOMA LEGAL CLAIMMESOTHELIOMA LEGAL CASE MNLAWYER FOR MINNESOTA MESOTHELIOMA CLAIMMINNEAPOLIS MESOTHELIOMA ATTORNEYSMESOTHELIOMA LEGAL CASEMESOTHELIOMA LAWYER MINNNEED LAWYER FOR MESOTHELIOMA CLAIM LEGALMN MESOTHELIOMA CLAIMLAWYER FOR MESOTHELIOMA LEGALMESOTHELIOMA CASE LEGALMINNESOTA MESOTHELIOMA LEGAL CLAIMBEST LAWYER FOR MESOTHELIOMAMN MESOTHELIOMA CASE LEGALMESOTHELIOMA ATTORNEY LEGALMINNESOTA MESOTHELIOMA LAWYER LEGALMINNESOTA MESOTHELIOMA CLAIMMESOTHELIOMA CLAIM LEGALTRAUMATIC MESOTHELIOMA LAWYERNEED LAWYER FOR MESOTHELIOMA CLAIMMESOTHELIOMA LAWYER IN MNFIND TOP MESOTHELIOMA LAWYER LEGALMN MESOTHELIOMA LEGAL CLAIMFIND MESOTHELIOMA LAWYER LEGALMN MESOTHELIOMA CASEMESOTHELIOMA LAW FIRM LEGALMESOTHELIOMA LAWYER IN MINNLAWYER FOR MINN MESOTHELIOMA LEGAL CASETOP MESOTHELIOMA LAWYER LEGALMESOTHELIOMA LAWYER LEGALMESOTHELIOMA LAWYERS MINNEAPOLISMESOTHELIOMA LAW FIRMEXPERIENCED MESOTHELIOMA LAWYER LEGALFIND MESOTHELIOMA LAWYERLAWYER FOR TRAUMATIC MESOTHELIOMAMESOTHELIOMA ATTORNEYS MINNEAPOLISBEST MESOTHELIOMA LAWYERMESOTHELIOMA LAWYER LEGAL MINNMINNEAPOLIS MESOTHELIOMA LAWYERS LEGALMESOTHELIOMA CASE MINNESOTAMESOTHELIOMA CASE MINNMESOTHELIOMA LEGAL CASE MINNESOTALAWYER FOR MESOTHELIOMAMESOTHELIOMA LEGAL CASE MINNMESOTHELIOMA CASENEED LAWYER FOR MESOTHELIOMALAWYER FOR MINNESOTA MESOTHELIOMALAWYER FOR MINN MESOTHELIOMA CASELAWYER FOR MESOTHELIOMA CASEMESOTHELIOMA LAWYER LEGAL MNNEED LAWYER FOR MESOTHELIOMA CASEMESOTHELIOMA CASE MINNESOTA LEGALMESOTHELIOMA CASE MNMINN MESOTHELIOMA CLAIMLAWYER FOR MN MESOTHELIOMA LEGAL CASENEED LAWYER FOR MESOTHELIOMA LEGAL CASEFIND LAWYER FOR MESOTHELIOMANEED MINNESOTA LAWYER FOR MESOTHELIOMAFIND TOP MESOTHELIOMA LAWYERTOP LAWYER FOR MESOTHELIOMALAWYER FOR MN MESOTHELIOMA CASEMN MESOTHELIOMA LEGAL CASENEED LAWYER FOR MESOTHELIOMA LEGALMESOTHELIOMA ATTORNEYS MINNEAPOLIS LEGALBEST MESOTHELIOMA LAWYER LEGALLAWYER FOR MESOTHELIOMA LEGAL CASEMINNEAPOLIS MESOTHELIOMA LAWYER LEGALMESOTHELIOMA LAWYER IN MINN LEGALLAWYER FOR MESOTHELIOMA LEGAL CLAIMNEED LAWYER FOR MESOTHELIOMA LEGAL CLAIMEXPERIENCED MESOTHELIOMA LAWYERMESOTHELIOMA LAWYER FIRMMESOTHELIOMA LEGAL CLAIMMINN MESOTHELIOMA LAWYERLAWYER FOR MESOTHELIOMA CLAIMMESOTHELIOMA ATTORNEY MINNEAPOLIS LEGALTOP MESOTHELIOMA LAWYERNEED MINNEAPOLIS LAWYER FOR MESOTHELIOMAMESOTHELIOMA LAWYER IN MINNESOTANEED MINN LAWYER FOR MESOTHELIOMABEST LAWYER FOR MESOTHELIOMA LEGALMINNEAPOLIS MESOTHELIOMA LAWYERSCANCER LAWYERCANCER LAWYER MINNEAPOLISMINNEAPOLIS CANCER LAWYERCANCER LAWYER MINNESOTAMINNESOTA CANCER LAWYERCANCER LAWYER MNMN CANCER LAWYERCANCER ATTORNEY MINNEAPOLISMINNEAPOLIS CANCER ATTORNEYCANCER ATTORNEY MINNESOTAMINNESOTA CANCER ATTORNEYCANCER ATTORNEY MNMN CANCER ATTORNEYCANCER ATTORNEYLAWYER FOR MINNESOTA CANCER CASEMN CANCER CLAIM LEGALLAWYER FOR MINNESOTA CANCER LEGAL CASECANCER CLAIMMINN CANCER LEGAL CLAIMCANCER LEGAL CASE MNLAWYER FOR MINNESOTA CANCER CLAIMMINNEAPOLIS CANCER ATTORNEYSCANCER LEGAL CASECANCER LAWYER MINNNEED LAWYER FOR CANCER CLAIM LEGALMN CANCER CLAIMLAWYER FOR CANCER LEGALCANCER CASE LEGALMINNESOTA CANCER LEGAL CLAIMBEST LAWYER FOR CANCERMN CANCER CASE LEGALCANCER ATTORNEY LEGALMINNESOTA CANCER LAWYER LEGALMINNESOTA CANCER CLAIMCANCER CLAIM LEGALTRAUMATIC CANCER LAWYERNEED LAWYER FOR CANCER CLAIMCANCER LAWYER IN MNFIND TOP CANCER LAWYER LEGALMN CANCER LEGAL CLAIMFIND CANCER LAWYER LEGALMN CANCER CASECANCER LAW FIRM LEGALCANCER LAWYER IN MINNLAWYER FOR MINN CANCER LEGAL CASETOP CANCER LAWYER LEGALCANCER LAWYER LEGALCANCER LAWYERS MINNEAPOLISCANCER LAW FIRMEXPERIENCED CANCER LAWYER LEGALFIND CANCER LAWYERLAWYER FOR TRAUMATIC CANCERCANCER ATTORNEYS MINNEAPOLISBEST CANCER LAWYERCANCER LAWYER LEGAL MINNMINNEAPOLIS CANCER LAWYERS LEGALCANCER CASE MINNESOTACANCER CASE MINNCANCER LEGAL CASE MINNESOTALAWYER FOR CANCERCANCER LEGAL CASE MINNCANCER CASENEED LAWYER FOR CANCERLAWYER FOR MINNESOTA CANCERLAWYER FOR MINN CANCER CASELAWYER FOR CANCER CASECANCER LAWYER LEGAL MNNEED LAWYER FOR CANCER CASECANCER CASE MINNESOTA LEGALCANCER CASE MNMINN CANCER CLAIMLAWYER FOR MN CANCER LEGAL CASENEED LAWYER FOR CANCER LEGAL CASEFIND LAWYER FOR CANCERNEED MINNESOTA LAWYER FOR CANCERFIND TOP CANCER LAWYERTOP LAWYER FOR CANCERLAWYER FOR MN CANCER CASEMN CANCER LEGAL CASENEED LAWYER FOR CANCER LEGALCANCER ATTORNEYS MINNEAPOLIS LEGALBEST CANCER LAWYER LEGALLAWYER FOR CANCER LEGAL CASEMINNEAPOLIS CANCER LAWYER LEGALCANCER LAWYER IN MINN LEGALLAWYER FOR CANCER LEGAL CLAIMNEED LAWYER FOR CANCER LEGAL CLAIMEXPERIENCED CANCER LAWYERCANCER LAWYER FIRMCANCER LEGAL CLAIMMINN CANCER LAWYERLAWYER FOR CANCER CLAIMCANCER ATTORNEY MINNEAPOLIS LEGALTOP CANCER LAWYERNEED MINNEAPOLIS LAWYER FOR CANCERCANCER LAWYER IN MINNESOTANEED MINN LAWYER FOR CANCERBEST LAWYER FOR CANCER LEGALMINNEAPOLIS CANCER LAWYERS, OCCUPATIONAL CANCER

Health Risks of Asbestos with the Lungs.

Asbestos-related diseases are disorders of the lung and pleura which arise out of the inhalation of asbestos. Asbestos is made of fibers. . Asbestos-related diseases include non cancerous conditions such as as asbestosis, (pulmonary fibrosis due to asbestos), diffuse pleural thickening, pleural plaques, pleural effusion and malignancies (cancers) such as lung cancer and malignant mesothelioma.

Workers in jobs with significant asbestos dust exposure are at the highest risk of developing asbestos-related disease. Asbestos was prsent in many building materials. There still remain asbestos in buildings that were built prior to the restriction of asbestos use. Older buildings have asbestos fragments that are released in the air and create a potential hazard. Anyone around the asbestos-containing material during home maintenance and renovation can be affected. This includes many workers such as pipefitters, plumbers, electricians, construction workers, auto workers among many others.

Non-malignant asbestos-related pleural diseases

Benign asbestos-related diseases encompass four types of pleural changes:

  • Pleural plaques

  • Diffuse pleural thickening

  • Benign asbestos pleural effusions

  • Rounded atelectasis (folded lung)

Pleural plaques

Pleural plaques are the most common manifestation of asbestos exposure, affecting up to 58% of asbestos-exposed workers. The chest xray is the usual tool for diagnosing pleural plaques but chest CT Scan is more sensitive and specific in this regard. Pleural plaques are evidence of past asbestos exposure and indicate an increased risk for the future development of other asbestos-related diseases. Pleural plaques in themselves are not pre-malignant. Individuals with pleural plaques are usually not compensated in most compensation systems.

Diffuse pleural thickening

Diffuse pleural thickening (DPT) is non-circumscribed fibrous thickening of the visceral pleura with areas of adherence to the parietal pleura and obliteration of the pleural space It often extends over the area of an entire lobe or lung, with fibrotic areas involving  Diffuse pleural thickening develops 20 to 40 years after first exposure. All types of asbestos can cause diffuse pleural thickening and a dose-related relationship has been described. It is thought that asbestos fibres that reach the pleura induce subpleural fibroblasts and mesothelial cells to produce scar tissue and collagen deposition, resulting in subpleural thickening. It usually begins with an inflammation of the pleura that is accompanied by a pleural effusion.  DPT has a significant impact on pulmonary function, causing a decrease in forced vital capacity, reducing total lung capacity and diffusing capacity.

Benign asbestos pleural effusion

Benign asbestos pleural effusion is a buildup of fluid between the two pleural layer following asbestos exposure. It is relatively uncommon and the earliest manifestation of disease following asbestos exposure, usually occurring within 10 years from exposure. Effusions may be asymptomatic but rarely, they can cause pain, fever, and breathlessness. Diagnosis relies on a compatible history of asbestos exposure and exclusion of other probable causes.

Rounded atelectasis

 Also known as Blesovsky’s or folded lung syndrome) develops from infolding of thickened visceral pleura with collapse of the intervening lung parenchyma.] Rounded atelectasis is the least common asbestos-related benign pleural disease. Exposure to asbestos is the most likely cause today but it can occur following other medical conditions. It is a chronic condition and usually asymptomatic.

Asbestosis

Asbestosis is a chronic lung disease caused by scarring of lung tissue, which results from prolonged exposure to asbestos. It is defined as diffuse interstitial pulmonary fibrosis secondary to asbestos exposure. It initially affects the lung bases and usually manifests after 15 or more years from initial exposure. It occurs after high intensity and/or long-term exposure to asbestos. Asbestos-related fibrosis is progressive because it continues to progress in the lung even if no further asbestos is inhaled. The scar tissue causes the alveolar walls to thicken, reducing the lung capacity which leads to the patient experiencing shortness of breath.. Sufferers are at an increased risk for heart failure and certain malignancies.

Malignant asbestos-related diseases

Malignant mesothelioma

Malignant Mesothelioma is an aggressive and incurable tumor caused by asbestos arising from mesothelial cells of the pleura, (the lining of the abdominal cavity) and rarely elsewhere. Pleural mesothelioma is the most common type of mesothelioma, representing about 75 percent of cases. Peritoneal mesothelioma or stomach mesothelioma is the second most common type, consisting of about 10 to 20 percent of cases.. The symptoms include shortness of breath, chronic chest pain, cough, and weight loss. A biopsy is needed to confirm a diagnosis of malignant mesothelioma. Mesothelioma has a poor prognosis, with most patients dying within 1 year of diagnosis. T

Asbestos-related lung cancer

Asbestos can cause cancer that is identical to lung cancer from other causes. Exposure to asbestos is associated with all major histological types of lung carcinoma (aenocarcinoma,  squamos cell carcinoma, large cell carcinoma and small cell carcinoma). The latency period between exposure and development of lung cancer is 20 to 30 years. It is estimated that 3%-8% of all lung cancers are related to asbestos. The risk of developing lung cancer depends on the level, duration, and frequency of asbestos exposure (cumulative exposure). Treatment involves surgical removal of the cancer, chemotherapy, radiotherapy, or a combination of these (multimodality treatment). Prognosis is generally poor unless the cancer is detected in its early stages. Out of all patients diagnosed with lung cancer, only 15% survive for five years after diagnosis.

At the SCHMIDT-SALITA LAW TEAM WE DISCUSS YOUR EMPLOYMENT AND HEALTH HISTORY AND HAVE REPRESENTED NUMEROUS INDIVIDUALS AND FAMILIES IN ALL EXPOSURE CASES, WE PURSUE CLAIMS AND LAWSUITS AGAINST THOSE EMPLOYERS, MANUFACTURERS AND THIRD PARTIES FOR MEDICAL CARE, LOST EARNINGS, THE VICTIM’S PAIN AND SUFFERING, OR THE SURVIVORS’ LOSSES. PLEASE CONTACT US AT

Phone: 952-473-4530

Toll Free: 1-800-656-8450

Fax: 952-544-1308

Email: info@mnlawteam.com

Workplace Exposure

Workplace Exposure

Exposure to harmful substances in the workplace can be very different from exposure in other settings. This is because of the amount of exposure and longevity of exposure.

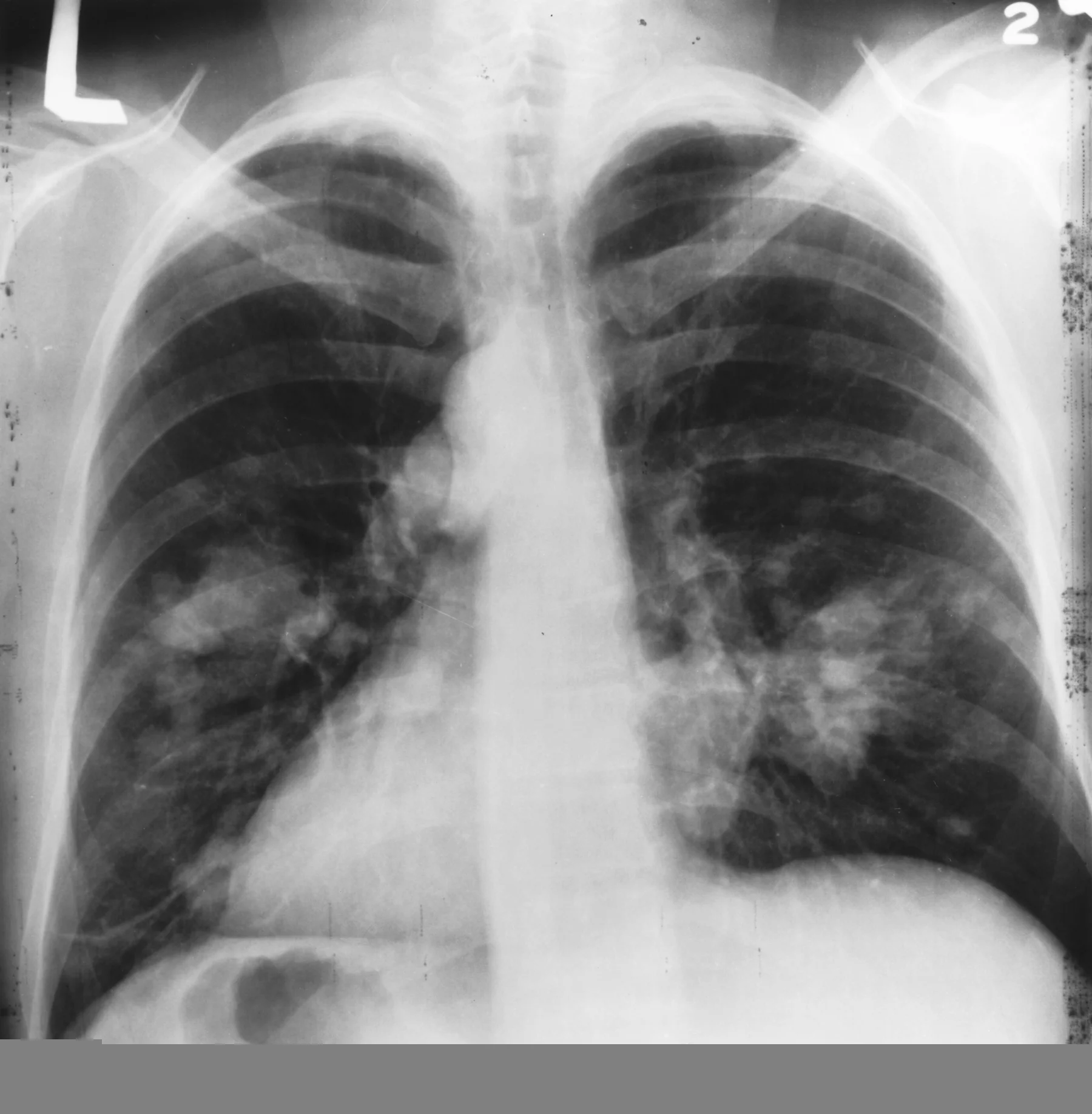
What is the difference between Pleural Plaques, Asbestosis and Mesothelioma

X-ray(Chest)Cancer.jpg

What is the difference between Pleural Plaques, Asbestosis, and Mesothelioma?

The pleura is a two-layered membrane surrounding the lungs and lining the inside of the rib cage. It is very common for areas of this membrane to become thickened and to accumulate a chalky material If one has been exposed to asbestos. These areas are called pleural plaques.

If you have pleural plaques, it doesn’t mean that:

  • you will go on to get a more serious disease 

  • you have a more serious disease at the moment

Being exposed to asbestos does increase your risk of developing a serious lung condition such as asbestosis, mesothelioma, or cancer.  Plaques aren’t a form of cancer.

Asbestosis is a rare long-term lung condition. It usually develops around many years after you have breathed in .

Breathing in asbestos fibres, can cause them to become lodged inside your lungs and cause scarring. This scarring leads to the lungs shrinking and hardening. In turn, this results in shortness of breath.

Asbestosis is not cancer, but studies have shown that having the disease can make patients more likely to develop lung cancer in the future. Patients with asbestosis could even develop mesothelioma in the future.

Although asbestosis isn’t cancer, there are, unfortunately, long-term complications involved with the disease and there is currently no cure.

Other than the fact that asbestosis is not a deadly cancer like mesothelioma, the biggest difference is how it develops. Asbestosis develops from asbestos fibers lodging in the alveoli, which are the lungs air sacs. Mesothelioma develops from asbestos fibers lodged in the lining of the lungs.

At Schmidt-Salita Law Team we discuss your employment history and have significant records with known asbestos-containing materials and job sites . We have handled many cases on behalf of victims of Mesothelioma or Asbestos disease and their families. We pursue claims and lawsuits against those employers, manufacturers and third parties for medical care, lost earnings, the victim’s pain and suffering, or the survivors’ losses.

Please contact us at:

Phone: 952-473-4530

Toll Free: 1-800-656-8450

Fax: 952-544-1308

Email: info@mnlawteam.com

Minneapolis Cancer Attorney- Nurses and chemical exposures

Minneapolis Cancer Attorney- Nurses and chemical exposures

A first ever national survey of nurses’ exposures to chemicals, pharmaceuticals and radiation on the job suggests there are links between serious health problems such as cancer, asthma, miscarriages and children's birth defects and the duration and intensity of these exposures was completed in 2007 . The survey included 1,500 nurses from all 50 states.

Known Asbestos Locations

Known Asbestos Locations

Workers who have asbestosis, mesothelioma, Pleural disease or other types of lung cancers should contact us to discuss possible legal claims. Whether they are places you or a loved one worked on or in you may have a claim.

What is Mesothelioma?- Minneapolis Cancer Lawyer

What is Mesothelioma?- Minneapolis Cancer Lawyer

Mesothelioma is when cancer forms on the mesothelium, a protective lining that covers the lungs, abdomen, heart and testes. This exposure often occurred in the workplace or in the military.

Taconite Industry and Asbestos/Mesothelioma

Taconite Industry and Asbestos/Mesothelioma

The prevalence of Asbestos Disease such as Mesothelioma and Cancer in northeast Minnesota continues to rise, according to a University of Minnesota study examining the nearby taconite mining industry.

Workers' Compensation Lawyers- Cancer from workplace exposure

Workers' Compensation Lawyers- Cancer from workplace exposure

Minnesota workers are exposed to many chemicals that are carcinogenic, meaning that these chemicals can cause cancer with repeated exposure in the work place.